Sie sind hier: Startseite » Diagnosen » Spinalkanalstenose
Spinalkanalstenose
Eine Spinalkanalstenose entsteht langsam. In den ersten Jahren sind die Beschwerden sehr milde, um irgendwann exponentiell zuzunehmen. Dieses Phänomen trifft man oft bei biologischen Systemen an; nämlich dann, wenn alle Reserveräume erschöpft sind. Meist kommt es zu Schmerzen in beiden seitlichen Oberschenkeln nach kurzem Gehen. Die Gehstrecke kann von einigen Km bis zu wenigen Metern variieren. Linderung verschaffen Pausieren, Bücken oder Setzen. Auch können Gefühlsstörungen, Schwäche- und Unsicherheitsgefühle oder sogar Blasenstörungen auftreten. Zumeist ist das Radfahren nicht eingeschränkt, was die spinale Stenose von der Gefäßverengung unterscheidet.
Verlauf der Symptomatik bei der Spinalkanalstenose
Der Durchmesser der Spinalkanals nimmt im Laufe des Lebens ab. Die Symptome entstehen erst, wenn die Reserven aufgebraucht sind und die Nerven komprimiert werden. Ist dieser Zustand erreicht hilft zumeist nur noch eine operative Erweiterung des Kanals.
Die Spinalkanalstenose ist in den meisten Fällen Ausdruck einer degenerativen Erkrankung. Durch den Bandscheibenverschleiß kommt es zu einer minimalen Lockerung und Überbeweglichkeit der Wirbel. Bereits durch einen Wirbelversatz kann ein von 2 Wirbeln gebildeter Kanal verkleinert werden. Der Körper versucht der Lockerung entgegenzuwirken und vergrößert Bänder und Knochen (Gelenke). Auch dadurch wird der Nervenkanal eng. Besonders an der Halswirbelsäule versucht der Körper sogar Knochenbrücken, sog. Osteophyten, zu bilden, die Nervengewebe einengen.
Nicht zuletzt können auch Bandscheibenvorwölbungen oder Vorfälle zu einer Spinalkanalstenose führen.
Halswirbelsäule
Zumeist ist eine Kernspintomographie ausreichend. Bei Verdacht auf Rückenmarksschaden ist zusätzlich eine elektrophysiologische Untersuchung der Nervenleitung erforderlich.
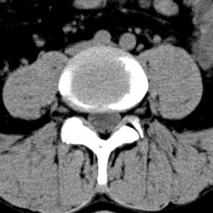
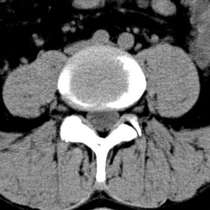
Lendenwirbelsäule
Auch hier reicht zumeist Röntgenaufnahme in Funktion sowie eine Kernspintomographie oder eine Computertomographie aus. Bei einem Wirbelgleiten oder einer Verengung auf mehreren Höhen ist eine Myelographie nach wie vor die Untersuchung, die die wertvollsten Ergebnisse im Hinblick auf eine genaue Operationsplanung liefert.
Nur in seltenen Fällen bringen konservative Therapien durchgreifende Linderung. Dies ist angesichts der physikalischen Enge des Wirbelkanals einsichtig. Sacrale Blockaden können kurzfristige Linderung erbringen, zumeist ist aber zur Wiederherstellung der Lebensqualität eine Operation unumgänglich. Die Langzeitergebnisse der Operation sind signifikant besser als jede konservative Therapie, wie eine Studie zeigte. (SPORT Studie: 289 Patienten operiert, 365 Patienten konservativ behandelt. Nach vier Jahren ging es den Operierten im Mittel signifikant besser als den konservativ Behandelten, besonders was Schmerzen und Claudicatio-intermittens-spinalis-Symptomatik betraf.)
Wann wird operiert ?
Bei der Entscheidung für oder gegen eine Operation spielt Ihre Lebensqualität die entscheidende Rolle. Solange kein neurologischer Schaden vorliegt verpassen Sie, außer Lebensqualität, nichts. Es gibt nur ganz selten einen Grund für eine dringliche Operation, dann, wenn Lähmungen oder Blasenstörungen auftreten.
Vor einer Operation sollte die konservative Therapie ausgeschöpft sein. An unserem Schmerzzentrum beinhaltet das die medikamentöse Therapie, gezielete Spritzen und ggf. eine stationäre, schmerztherapeutische Intensivbehandlung.
Bei der Entscheidung für oder gegen eine Operation spielt Ihre Lebensqualität die entscheidende Rolle. Solange kein neurologischer Schaden vorliegt verpassen Sie, außer Lebensqualität, nichts. Es gibt nur ganz selten einen Grund für eine dringliche Operation, dann, wenn Lähmungen oder Blasenstörungen auftreten.
Vor einer Operation sollte die konservative Therapie ausgeschöpft sein. An unserem Schmerzzentrum beinhaltet das die medikamentöse Therapie, gezielete Spritzen und ggf. eine stationäre, schmerztherapeutische Intensivbehandlung.
Artikel zum Thema Spinalkanalstenose deutsches Ärzteblatt 2013
OP Methode der 1. Wahl:
Erweiterung des Spinalkanals in mikrochirurgischer Technik. Durch die konsequente Verwendung des OP-Mikroskops wird der Rückenkanal nur von einer Seite präpariert und mittels Diamantfräsen beidseits erweitert. Die Technik wird auch als "bilaterale spinale Dekompression von unilateral" oder "over the top" bezeichnet.
Sie ist deutlich schonender als die früher und immer noch angewendete Technik der beidseitigen Präparation, da so auf einer Seite die Bänder, Muskeln und Gelenke geschont werden.
Artikel zum Thema Spinalkanalstenose deutsches Ärzteblatt 2013
Verfahren:
Bei der Operation erfolgt ein ca. 3-4 cm langer kleiner Schnitt über dem OP-Segment. Vorsichtig wird dann die Muskulatur von der Wirbelsäule zur Seite geschoben. Nach Eröffnung des Wirbelkanals durch Entfernen von Bandanteilen, dem so genannten gelben Band (Ligamentum flavum), sowie angrenzenden knöchernen Anteilen der Wirbelbögen, wird die Nervenwurzel knöchern entlastet. Der Spinalkanal wird dann zur Gegenseite hin erweitert. Dabei bleiben die stabilisierenden Säulen der Gegenseite intakt. Wichtig ist, die Gelenke nicht zu schädigen aber dennoch den Kanal hinreichend zu erweitern.
Der ganze Eingriff erfolgt mit neurochirurgischem Spezialinstrumentarium, bestehend aus speziellen feinen Stanzen, Faßzangen und hochtourigen Diamantfräsen. Hiermit ist dann die Operation beendet. Die Wunde wird schichtweise verschlossen.
Nach der Operation:
Am Tag nach der Operation dürfen sie in Begleitung wieder aufstehen. Sie sollten jedoch für einige Zeit sehr zurückhaltend mit dem Sitzen sein und in den ersten 8 Tagen sollte nicht zu viel gelaufen werden. Wichtig ist es, häufiger am Tag für kurze Zeit aufzustehen, statt ein- oder zweimal für längere Zeit. In der Regel kann nach 1-4 Tagen die Entlassung aus der kurzstationären Pflege erfolgen, nachdem sie auch unter krankengymnastischer Anleitung spezielle Wirbelsäulenbewegungstechniken für den Alltag erlernt haben. Auf Wunsch wird eine Anschlußheilbehandlung beantragt. Wundfäden müssen nicht enfernt werden. Eine Arbeits- und Belastungsfähigkeit sollte im Idealfall nach 6-8 Wochen erreicht sein



